クリニック紹介
はじめての方へ
ドクター紹介
歯科治療案内
精密虫歯治療
審美歯科
セラミック
ホワイトニング
予防歯科治療
親知らず外来
インプラント
ダイレクトボンディング
ラミネートべニア
矯正治療案内
矯正歯科特設ページ
矯正治療について
マウスピース矯正(インビザライン)
舌側矯正
審美ブラケット矯正
部分矯正
ブライダル矯正
小児矯正
症例紹介
一般歯科症例紹介
矯正歯科症例紹介
料金案内
一般歯科料金案内
矯正歯科料金案内
アクセス
TEL
Reserve
アクセス
MENU
HOME
はじめての方へ
クリニック紹介
料金案内
一般歯科料金案内
矯正歯科料金案内
アクセス
ドクター紹介
歯科治療案内
精密虫歯治療
審美歯科
セラミック
ホワイトニング
予防歯科治療
親知らず外来
インプラント
ダイレクトボンディング
矯正歯科特設ページ
矯正治療について
マウスピース矯正(インビザライン)
舌側矯正
審美ブラケット矯正
部分矯正
ブライダル矯正
小児矯正
症例紹介
一般歯科症例紹介
矯正歯科症例紹介
03-6455-7010
矯正相談受付中
WEB予約
一般歯科症例紹介
HOME
一般歯科症例紹介
前歯のセラミック
カテゴリー
サイナスリフト
セラミック治療
ラミネートべニア
ダイレクトボンディング
インプラント
ホワイトニング
クラウンレングスニング
エクストリュージョン
根管治療
包括歯科治療
前歯のセラミック
奥歯のセラミック
前歯の
セラミック
奥歯の
セラミック
ダイレクト
ボンディング
インプラント
ホワイトニング
前歯のセラミック
2025.05.16
セラミック治療
前歯のセラミック
セラミッククラウン
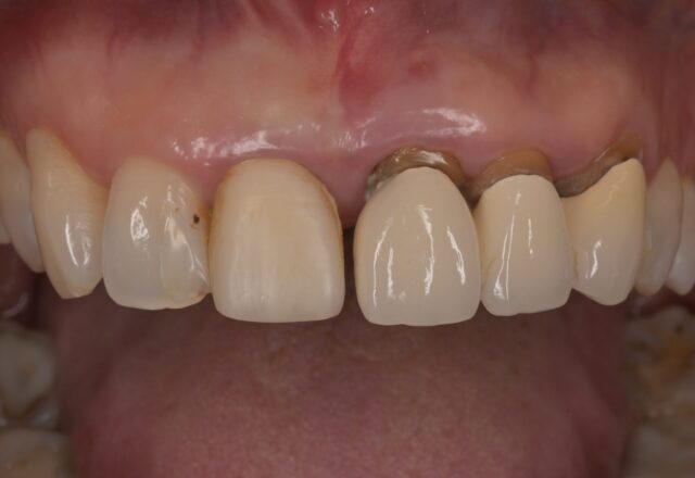
Before
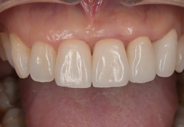
After
詳しく見る
2025.05.16
セラミック治療
前歯のセラミック
セラミック治療(ジルコニアセラミッククラウン)症例 ※投稿11
Before
After
詳しく見る
2025.05.14
セラミック治療
インプラント
前歯のセラミック
前歯のインプラント・被せ物
Before
After
詳しく見る
2025.05.13
セラミック治療
前歯のセラミック
被せ物のやり治しに伴う根管治療、支台歯築造、形成
Before
After
詳しく見る
2025.05.12
セラミック治療
前歯のセラミック
ジルコニアセラミックスクラウン
Before
After
詳しく見る
1
2
>
無料矯正相談はこちら