根管治療
セラミッククラウン 根管治療 ※投稿7


症例情報
| 主訴 | 歯肉が腫れて痛い |
|---|---|
| 診断名 | ・被せ物の適合不良による歯周病 ・根尖性歯周炎 |
| 治療方法 | ・セラミッククラウン ・精密根管治療 被せ物のやりかえだけでは根管内の病気はそのままであり、将来的に細菌感染が拡大し再治療の可能性が高いため根管治療からの再治療となりました。 |
| 診療前の注意点 | 来院が複数回に及ぶことがあります |
| 備考 | 数年前にセラミック治療を行った歯が、歯肉が腫れて痛いとの主訴で来院されました。 |
治療詳細
-
初診
治療前の様子です。
初診時、被せ物の適合不良を認め、歯肉が腫れている状況でした。
-
被せ物の除去
前歯の被せ物を取り除いた状態です。
被せ物を外すと土台の金属の劣化、さらに根管治療がされている歯ですが、根管内に汚れが入り込み、細菌感染を認めました。
-
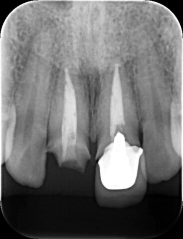
精密根管治療 治療前レントゲン
マイクロスコープを用いた、精密根管治療前後のレントゲンです。

-
精密根管治療 治療後レントゲン
治療後は根尖の病気はなくなり、骨が再生しています。
白くうつっている根管内の薬も緊密に充填することができているので、術後に細菌が侵入しづらく、病気の再発の可能性も低くなります。
-
歯周病の改善
根管治療が終了し、土台を金属ではなくファイバーポストコアへ変更した写真です。
この頃には、腫れていた歯肉も改善していることがわかります。
治療中には仮歯を使用していますが、仮歯の適合精度に配慮して治療することにより歯肉の状態も改善していきます。

-
完成
セラミッククラウンを装着した時の写真です。
歯肉の炎症はなくなり、初診時で認めた色や形態の不調和も改善することができました。
